Frattura epifisi distale del Radio: una guida completa

Le fratture dell’epifisi distale del radio sono molto frequenti in ogni fascia d’età e in entrambi i sessi.
Ad essere colpito da una frattura epifisi distale del radio è una vasta parte della popolazione, ma in modo particolare si verificano più facilmente in soggetti giovani che svolgano attività sportiva o in soggetti anziani interessati da osteoporosi.
Tuttavia, una frattura dell’epifisi distale del radio può avere anche origine traumatica, in particolare in seguito a traumi indiretti in estensione del polso, che possono produrre uno spostamento consistente.
Questo tipo di frattura è nota anche come frattura di Colles o di Poteau Colles.
In seguito ad essa, è fondamentale procedere ad un primo trattamento specifico e stabilire un adeguato protocollo riabilitativo: questo è necessario per ridurre i tempi di recupero e favorire la ripresa del paziente, riducendo le conseguenze dovute alla deformazione della lesione e la limitazione funzionale dovuta al dolore articolare.
Indice dei contenuti
ToggleEpifisi distale del radio frattura: anatomia
Il nucleo di accrescimento dell’epifisi distale del radio compare dopo il primo anno di età, mentre tra i 17 e i 21 anni nelle donne e tra i 20 e i 26 anni negli uomini si fonde con la diafisi.
Alla base dell’estremità distale vi è la faccia articolare carpale, rivestita di cartilagine e suddivisa in due faccette secondarie, quali la faccetta laterale per l’articolazione con l’osso scafoide e la faccetta mediale per l’articolazione con l’osso semilunare.
I nervi che possono essere coinvolti in caso di frattura scomposta epifisi distale del radio sono tre: il nervo mediano e il nervo ulnare, sulla faccia volare; il nervo radiale sulla faccia posteriore e laterale.
I legamenti che rinforzano la capsula articolare radio-carpica sono:
- legamenti volari, quali legamento radio-carpico volare e legamento ulno-carpico volare;
- legamenti dorsali: legamento radio-scafoideo, legamento radio-carpico e legamento ulno-carpico-dorsale;
- legamenti laterali: legamento collaterale radiale e il legamento collaterale ulnare.
Frattura epifisi distale radio: esami
Il principale strumento diagnostico per verificare il tipo di frattura dell’estremo distale è la radiografica, attraverso proiezioni antero-posteriore e laterale.
Tramite radiografia, è possibile acquisire informazioni relativamente alla stabilità della lesione e trarne adeguate indicazioni per il trattamento.
Sono cinque le misurazioni radiografiche consigliate per valutare fratture dell’estremità distale del radio:
- inclinazione palmare;
- inclinazione radiale;
- lunghezza del radio;
- larghezza del radio;
- variazione ulnare.
In caso di traumi in pazienti giovani e attivi, alla radiografia vengono affiancate TAC e RMN, per permettere al medico di individuare un trattamento più idoneo al caso.
Tipologie ed esiti frattura epifisi distale radio
Le fratture dell’epifisi distale del radio sono distinguibili in due tipologie:
- le fratture extra articolari, che coinvolgono i 3 o 4 cm distali del radio;
- le fratture intra articolari, che si estendono fino all’articolazione radio-carpica e radio-ulnare; sono molto frequenti nei soggetti anziani, nei quali il processo di invecchiamento comporta una riduzione del tono di calcio, rendendo l’osso più fragile.
Frattura composta epifisi distale radio
La frattura composta epifisi distale del radio è una frattura che sia incompleta o nella quale i frammenti di osso sono rimasti nella loro posizione anatomica.
Frattura scomposta epifisi distale radio
La frattura scomposta, invece, è una frattura al cui interno i frammenti ossei sono male allineati.
In questo caso, si deve procedere ad una riduzione attraverso manipolazione dei frammenti della frattura in modo da posizionarli adeguatamente.
Frattura epifisi distale radio: trattamento
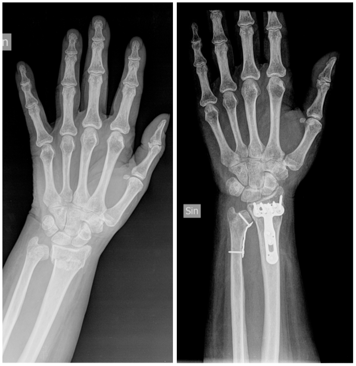
Il trattamento chirurgico è molto indicato in questo tipo di fratture, sia nelle fratture esposte che nelle fratture chiuse quando siano associate a fratture esposte nei pazienti traumatizzati cranici, negli anziani o nei politraumatizzati.
Il trattamento chirurgico permette una riduzione anatomica e stabile della frattura, così da ripristinare in breve tempo la mobilità articolare.
Il ricorso a questo tipo di trattamento è indicato per:
- fratture a scivolamento volare, quando la riduzione non è stabile;
- fratture a scivolamento dorsale, quando vi è una scomposizione secondaria non trattata dall’inizio e non riducibile con manipolazioni esterne;
- fratture scomposte della stiloide radiale;
- fratture intra articolari irriducibili;
- fili percutanei;
- fili inglobati nel gesso;
- tecnica della cementazione nell’anziano;
- riduzione a cielo aperto e sintesi con placca;
- fissazione elastica endomidollare;
- metodica di Ulson;
- sistema Epibloc;
- fissazione esterna.
Frattura epifisi distale radio riabilitazione
Le tecniche di rieducazione funzionale e di riabilitazione del polso sono fondamentali.
L’immobilizzazione del polso ha una durata variabile, in base alla tecnica di trattamento utilizzata.
Quando si tratta di fratture trattate in modo conservativo con apparecchio gessato brachio metacarpale e nelle fratture trattate con fili percutanei e gesso, l’immobilizzazione si aggirerà intorno alle cinque settimane.
Nel caso di fratture trattate con placca, il periodo di immobilizzazione, invece, si ridurrà a circa due settimana, mentre nelle fratture trattate con fissatore esterno si procede a neutralizzazione per quattro settimane e a dinamizzazione per le tre settimane successive.
Già durante l’immobilizzazione si procede al trattamento riabilitativo, per ridurre l’edema della mano ed evitare che la rigidità si estenda alle articolazioni vicine, quali gomito, dita e spalla.
Le metacarpo falangee devono essere lasciate libere dal gesso e vanno mobilizzate in modo attivo e passivo con esercizi di abduzione e adduzione ed esercizi di pinza tra il primo dito e le altre.
Inoltre, vanno eseguiti esercizi di abduzione, rotazione esterna e retroposizione della spalla, nonché di flesso-estensione del gomito, che permettono di mantenere integre le capsule articolari e di prevenire l’inspessimento tendineo e le aderenze delle articolazioni non coinvolte.
Una volta rimossa l’immobilizzazione, si procede in modo progressivo con esercizi attivi, passivi e contro resistenza, da eseguire con la guida del terapista.
Per ridurre il dolore, possono essere applicate sull’estremo distale del radio frequenze elettrice tra i 50 e 100 Hz, come impulsi di bassa intensità e dalla durata tra i 60 e 150 microsecondi.
Inoltre, è importante procedere al trattamento dell’edema con massaggio superficiale per far riassorbire i liquidi: il massaggio non deve mai andare in profondità, altrimenti si correrebbe il rischio di flogosi, che comporta la comparsa delle calcificazioni periarticolari. Proprio per evitare tale rischio, si preferisce ricorrere a drenaggio linfatico.